Ja, möglich! In diesem Fall mittels Kronen und Teleskop- prothese. 


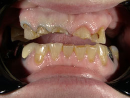
Zahn gebrochen – Was tun? Soforthilfe und Behandlung in Stuttgart

Ein gebrochener Zahn ist nicht nur schmerzhaft, sondern kann auch funktionelle und ästhetische Probleme verursachen. Ob durch einen Unfall, Zähneknirschen oder Karies – bei einem Zahnbruch ist schnelles Handeln entscheidend.

 

Ursachen für einen Zahnbruch

Unfälle oder Stürze

Knirschen oder Pressen (Bruxismus)

Tiefe Karies oder alte Füllungen

Plötzliche Krafteinwirkung beim Kauen (z. B. auf harten Kernen)

Sofortmaßnahmen bei einem gebrochenen Zahn

 

Vermeiden Sie Kälte, Hitze und Druck auf die betroffene Stelle

Nehmen Sie bei Schmerzen ein schonendes Schmerzmittel (z. B. Ibuprofen)

Vereinbaren Sie schnellstmöglich einen Termin bei uns

Je nach Schweregrad des Bruchs bieten wir folgende Lösungen an:

Kompositaufbau bei kleinen Frakturen

Teilkrone oder Krone bei größeren Defekten

Wurzelbehandlung bei Beteiligung des Zahnnervs

Zahnimplantat oder Brücke bei stark zerstörten oder nicht erhaltungswürdigen Zähnen

 

 

Wir haben Langjährige Erfahrung mit ästhetischer Zahnmedizin und bilden uns regelmäßig fort bei den besten der Branche.

 

 

 

Emotionen bestimmen unser Leben. Psychischer Stress oder traumatische Erlebnisse beeinflussen unser Essverhalten und können zu Anorexie oder Bulimie führen. Dies kann nicht nur primär zu gesundheitlichen Problemen führen, sondern auch Ihr Lächeln beeinflussen. Bulimie z.B. kann zu starken Erosionen führen und so Ihren Zahnschmelz zerstören. Das macht Ihre Zähne dunkler, da sich unter dem Zahnschmelz eine dunklere Zahnschicht befindet. Allein durch Rekonstruktion des verlorenen Zahnschmelzes ist es hier nicht getan. Zunächst brauchen Sie professionelle Hilfe für das ursächliche Problem. Wenn Sie Ihr Selbstvertrauen und Selbstwertgefühl wieder gewonnen haben können Sie sich nun Ihrem Aussehen zuwenden.


Die orthognathe Chirurgie betrifft Kieferprobleme, die sich nur chirurgisch lösen lassen. Bei dieser Art von Eingriff kann die Gesichtsästhetik stark verändert werden, jedoch ist ein invasiver Eingriff nötig, der mit einigen Unannehmlichkeiten verbunden ist. Dabei wird Kieferknochen und Gewebe aufgebaut oder entfernt, um das Profil zu verbessern. Der richtige Ansprechpartner ist der Mund- Kiefer- Gesichtschirurg. Es ist wichtig, dass Sie dem Arzt genau sagen, was Sie korrigieren möchten. Ihr Chirurg wird basierend auf Gipsmodellen Ihres Gebisses, Fotos, Videos und speziellen Röntgenbildern einen genauen Behandlungsplan für Sie ausarbeiten.

 

 

Probleme die mit orthognather Chirurgie gelöst werden können:

• zu weit vorn oder zurück liegender Unterkiefer (oder Kinn)

• zu kurzes, zu langes oder aus anderem Grund unattraktives Kinn

• offener Biss (Zähne berühren sich nicht)

• asymmetrische oder nicht aufeinander passende Kiefer

• Diskrepanzen der oberen und unteren Gesichtshöhe (Gummy Smile - Zähne oder Zahnfleisch zu wenig sichtbar)

Der letzte Schliff

Wenn Sie Ihr schönes neues Lächeln erreicht haben, müssen Sie noch pflegen. Mithilfe dieser Tipps können Sie die Lebensdauer Ihres Zahnersatzes verlängern. Ein neues Lächeln kann erst der Anfang einer rundum neuen Erscheinung sein. Wir haben für Sie weitere Optionen um das Beste aus sich zu machen.

 

1. Wenn schlechte Gewohnheiten Ihr Lächeln ruiniert haben, werden sie das evtl. wieder tun. Starkes Rauchen, Tee und Kaffee können die neuen Zähne rasch wieder verfärben. Zähneknirschen oder das Kauen auf harten Gegenständen nutzt die neuen wie die natürlichen Zähne ab oder führt zu Rissen, Abplatzungen oder Brüchen. Nachdem Sie mit neuem Zahnersatz versorgt wurden, sollte man die Anfertigung einer Knirscherschiene in Betracht ziehen.

 

2. Schönheit ist mit Gesundheit eng verknüpft und die Ernährung spielt dabei eine wichtige Rolle. Ihre Ernährung sollte ausgewogen sein: ein guter Mix aus Gemüse, Früchten und Proteinen und guten Fetten. Trinken Sie viel Wasser. Was Sie Ihrem Körper zuführen, zeigt sich in Ihrer Haut, Ihren Nägeln, Haaren und Zahnfleisch. So gestalten Sie einen gesunden Rahmen für Ihr Lächeln. Denn mangelhafte oder übermäßige Ernährung kann die Form Ihres Gesichts verändern. Die Folge ist eine Verschiebung der Größenverhältnisse zwischen Zähnen und Gesicht.

 

3. Ein volles Lächeln ist das schönste Lächeln - Viele Patienten vergessen nach der Zahnbehandlung, dass ihr Lächeln nun besser aussieht. Wenn Sie beim Lächeln über Jahre die Hand vor den Mund gehalten, weil Sie sich für Ihre Zähne schämten, müssen Sie diese Angewohnheit erstmal ablegen lernen. Nach Abschluss einer ästhetischen Behandlung sollten Sie vor dem Spiegel Ihr neues Lächeln üben. Wiederholen Sie diese Übung, bis Sie sich wieder daran gewöhnt haben zu lächeln.

 

4. Nehmen Sie sich Zeit für Ihre Haut Ein Lächeln sieht am besten aus, wenn es von einer reinen und gesunden Haut umgeben ist. Eine gute Hautpflege sollte Teil des morgendlichen und abendlichen Rituals werden. Am Morgen kann eine Reinigung belebend und am Abend entspannend wirken. Es geht nicht nur darum, die Alterung zu verlangsamen, attraktiv zu sein und das Selbstbewusstsein zu stärken, sondern auch um Ihre physische, mentale und geistige Gesundheit und Fitness. Wer sich in seinem Tagesablauf Zeit für Gesundheit und Schönheit nimmt, schafft sich damit auch eine Möglichkeit zur Heilung, Entspannung, Erfrischung und Energiegewinnung.

 

5. Ihre Lippen sind wertvoll! Die Haut der Lippen kann leicht austrocknen und rissig werden und verliert mit zunehmenden Alter an Kollagen, Glätte und Feuchtigkeit. Als Folge davon, erschlaffen die Lippen und unterstützen die umgebende Haut weniger, was zu Lachfalten und Runzeln führt. Mit einigen einfach Tricks können Sie Ihre Lippen voller und frischer aussehen lassen:

• Versuchen Sie einen Lippenbalsam mit Vitaminen und Nährstoffen anzuwenden, der Ihre Lippen gut befeuchtet und gesund erhält. Es gibt sogar Produkte mit Antioxidantien, die vor der Alterung durch freie Radikale schützen sollen.

 

• Wenn Ihre Lippen mit dem Alter dünner werden, versuchen Sie es mit einer Lippenmaske ein- bis zweimal pro Woche. Diese führt zusätzliche Feuchtigkeit zu und hilft Ihren Lippen, voller auszusehen.

 

• Meiden Sie saure oder scharfe Nahrung wenn Ihre Lippen rissig oder trocken sind. Bis zu Abheilung sind Feuchtigkeit spendende, kühlend wirkende Nahrungsmittel, wie Melonen oder Gurken, eine bessere Wahl


Sind Sie bereit wieder unbeschwert lachen zu können?

Kommen Sie gerne auf ein unverbindliches Beratungsgespräch in unserer Praxis vorbei. Wir finden auch für Sie die optimale Lösung!